Ναι, σωστά διαβάσατε! Όπως αναφέρει το ABC News, ένα κοριτσάκι ήρθε στον κόσμο «κυοφορώντας» δύο δίδυμα έμβρυα 8-10 εβδομάδων. Το μωρό γεννήθηκε το Νοέμβριο του 2010 και οι επιστήμονες τότε θεώρησαν ότι πρόκειται για καρκινικούς όγκους στην κοιλιά του. Τώρα, όμως, έρχονται να αναιρέσουν τα παλιά τους ευρήματα, λέγοντας ότι τελικά πρόκειται για έμβρυα.

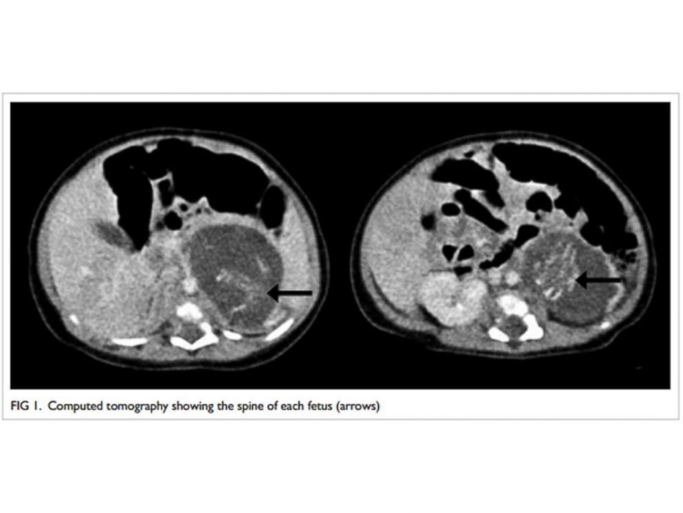
Πιο συγκεκριμένα, τα έμβρυα ζύγιζαν 14 γρ. και 10 γρ. αντίστοιχα, και η ανάπτυξή τους είχε προχωρήσει αρκετά ώστε να έχουν το καθένα 4 άκρα, σπονδυλική στήλη, θώρακα, έντερα και πρωκτό.

Το «έγκυος» μωρό, βάρους περίπου 5 κιλών, υπεβλήθη σε μια επιτυχημένη χειρουργική επέμβαση όταν ήταν μόλις 2 εβδομάδων, όπου του αφαιρέθηκαν τα δύο έμβρυα.

Το φαινόμενο αυτό, όπου ένα μερικώς ανεπτυγμένο έμβρυο (εδώ δύο) ενσωματώνεται σε ένα άλλο έμβρυο που μεγαλώνει μέσα στη μήτρα, είναι γνωστό ως «fetus in fetu», και είναι ιδιαίτερα σπάνιο μιας και έχουν καταγραφεί μόνο 200 περιστατικά σε όλο τον κόσμο.